Porcelain Veneers

Porcelain Veneers: A Comprehensive Guide

Porcelain veneers are a popular cosmetic dental treatment that can transform your smile. These thin, custom-made shells are designed to cover the front surface of teeth, improving their color, shape, size, or length. If you're considering porcelain veneers, this article will provide you with all the essential information.

What are Porcelain Veneers?

Porcelain veneers are wafer-thin shells of ceramic material that are bonded to the front surface of teeth. They are custom-made to fit each individual tooth, providing a natural and seamless appearance. Porcelain is a popular choice for veneers because it mimics the translucency of natural tooth enamel and is highly resistant to staining.

What Issues Can Porcelain Veneers Fix?

Porcelain veneers are a versatile solution for a variety of cosmetic dental concerns, including:

* Discolored teeth: Veneers can cover teeth that are stained or discolored due to factors like aging, medications, or root canal treatment.

* Worn down teeth: Veneers can restore the appearance of teeth that are worn down due to grinding or acid erosion.

* Chipped or broken teeth: Veneers can repair minor chips or breaks, restoring the tooth's original shape.

* Misaligned, uneven, or irregularly shaped teeth: Veneers can create a more uniform and symmetrical smile.

* Gaps between teeth: Veneers can close small gaps between teeth, providing a more even smile.

The Porcelain Veneers Procedure

The porcelain veneers procedure typically involves the following steps:

* Consultation: Your dentist will assess your oral health and discuss your goals for your smile. They will determine if you are a good candidate for porcelain veneers and create a personalized treatment plan.

* Preparation: A small amount of enamel is removed from the front surface of the teeth to create space for the veneers. This step is crucial for ensuring a proper fit and natural appearance.

* Impressions: Impressions of your teeth are taken to create custom-made veneers in a dental laboratory.

* Temporary veneers: Temporary veneers may be placed while your permanent veneers are being fabricated.

* Bonding: Once your permanent veneers are ready, they are carefully bonded to your teeth using a special dental adhesive.

* Final adjustments: Your dentist will make any necessary adjustments to ensure a perfect fit and comfortable bite.

Advantages of Porcelain Veneers

* Natural appearance: Porcelain veneers mimic the translucency of natural teeth, providing a realistic and beautiful smile.

* Stain resistance: Porcelain is highly resistant to staining, ensuring that your veneers maintain their brightness over time.

* Durability: Porcelain veneers are strong and durable, and can last for many years with proper care.

* Minimal tooth removal: The procedure typically requires minimal removal of tooth enamel, preserving more of your natural tooth structure.

* Improved confidence: Porcelain veneers can significantly improve your self-esteem and confidence by giving you a smile you love.

Disadvantages of Porcelain Veneers

* Cost: Porcelain veneers are a cosmetic procedure and can be more expensive than other dental treatments.

* Irreversible: The removal of tooth enamel is irreversible, so it's essential to be sure about your decision before proceeding.

* Sensitivity: Some patients may experience temporary tooth sensitivity after the procedure.

* Potential for damage: Although rare, porcelain veneers can chip or crack and may need to be replaced.

How to Care for Porcelain Veneers

To ensure the longevity of your porcelain veneers, it's essential to practice good oral hygiene and follow these tips:

* Brush and floss regularly: Brush your teeth twice a day with a soft-bristled toothbrush and floss daily.

* Avoid abrasive toothpaste and mouthwash: Use non-abrasive toothpaste and alcohol-free mouthwash to prevent damage to your veneers.

* Don't use your teeth as tools: Avoid biting on hard objects or using your teeth to open packages.

* Wear a mouthguard: If you participate in contact sports or grind your teeth at night, wear a mouthguard to protect your veneers.

* Schedule regular dental checkups: Visit your dentist for regular checkups and cleanings to maintain your oral health and the appearance of your veneers.

Are Porcelain Veneers Right for You?

Porcelain veneers are an excellent option for individuals looking to enhance their smile and correct a variety of cosmetic dental issues. However, it's essential to consult with your dentist to determine if you are a good candidate for this procedure. They will assess your oral health, discuss your goals, and create a personalized treatment plan to help you achieve the smile of your dreams.

In conclusion, porcelain veneers are a popular and effective way to transform your smile. With proper care and maintenance, they can provide you with a beautiful, natural-looking smile that lasts for many years. If you're considering porcelain veneers, consult with your dentist to learn more about this life-changing treatment.

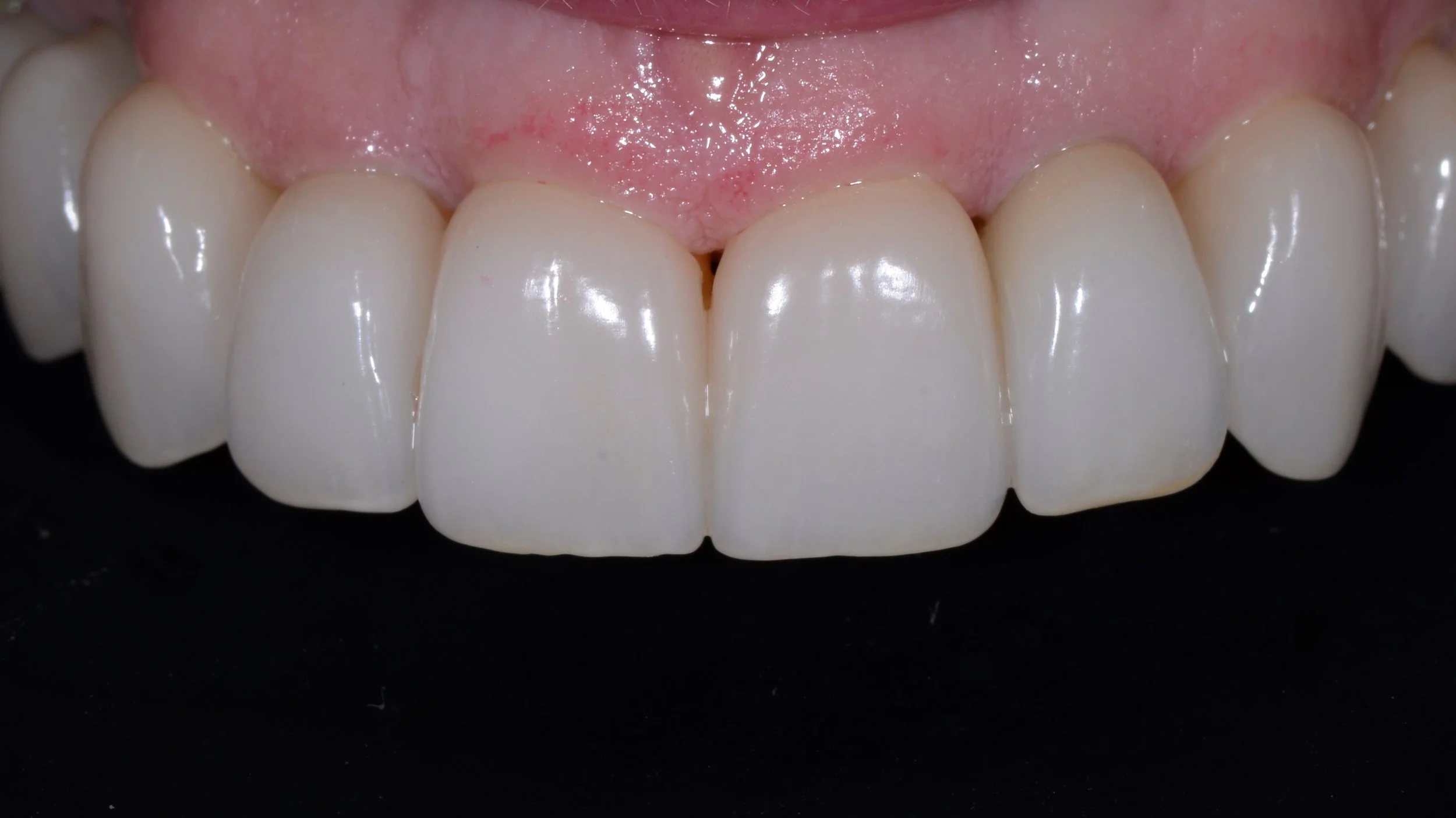
Thin, hand-crafted porcelain shells that are bonded to your natural teeth to recreate a rejuvenated appearance, usually to mask damaged, discoloured or worn down teeth.

Benefits

  • Custom designed, trialed in the mouth, then hand-layered and baked in the ceramic laboratory

  • Strong, durable & beautiful

  • Initial shine & lustre remains indefinite

  • Excellent resistance to stains

  • Usually an additive technique where little tooth enamel is sacrificed

Considerations

  • Dental hygiene must be pristine to prevent decay at the veneer-tooth interface

  • Staining at the veneer-tooth margin may occur over time, particularly when there is natural gum recession with aging

  • Trauma, falls & accidents may debond or fracture a veneer

  • Undesirable habits including nail biting, beer bottle opening, breaking hard foods (e.g. crab shells) may debond or fracture a veneer

  • Teeth clenching & grinding (bruxism) habits during sleep may increase the risk of veneer failure in which case an occlusal splint will need to be worn during sleep.

Gallery

Case Study 1 - Smile Rejuvenation with Porcelain Veneers & Ceramic Onlays

Case study 2 - Smile rejuvenation with ceramic restorations and an implant-supported crown