Single Tooth Implant

Single Tooth Replacement 

Nobel bIOCARE 2(1).jpg

Teeth Replacement Choices for a Single Tooth

  1. Implant-supported crown

  2. Teeth-supported conventional dental bridge

  3. Removable partial denture



An Implant-Supported Crown

  • The gold standard in the replacement of missing teeth

  • Benefits:

    • Aesthetics and comfort mimics that of a natural tooth

    • High strength

    • Documented long term success - pure titanium implants have a 97% success rate after 10 years in non-smokers

    • Conservative - completely preserves the natural enamel of adjacent teeth

  • Considerations:

    • Longer healing time (although this is case dependent)

    • Surgical procedure involved

    • Lifelong preventative maintenance and monitoring

Dental Bridge

  • The "old-school" method for replacing missing teeth

  • Natural teeth adjacent to the missing tooth must be reduced

  • Supporting teeth are more prone to decay

  • 3% chance of nerve irritation, with supporting tooth needing root therapy  

  • 85% predictability of success over 10 years

nobelprocera-natural-teeth.jpg

 

Gallery

An implant crown is closely inspected prior to insertion

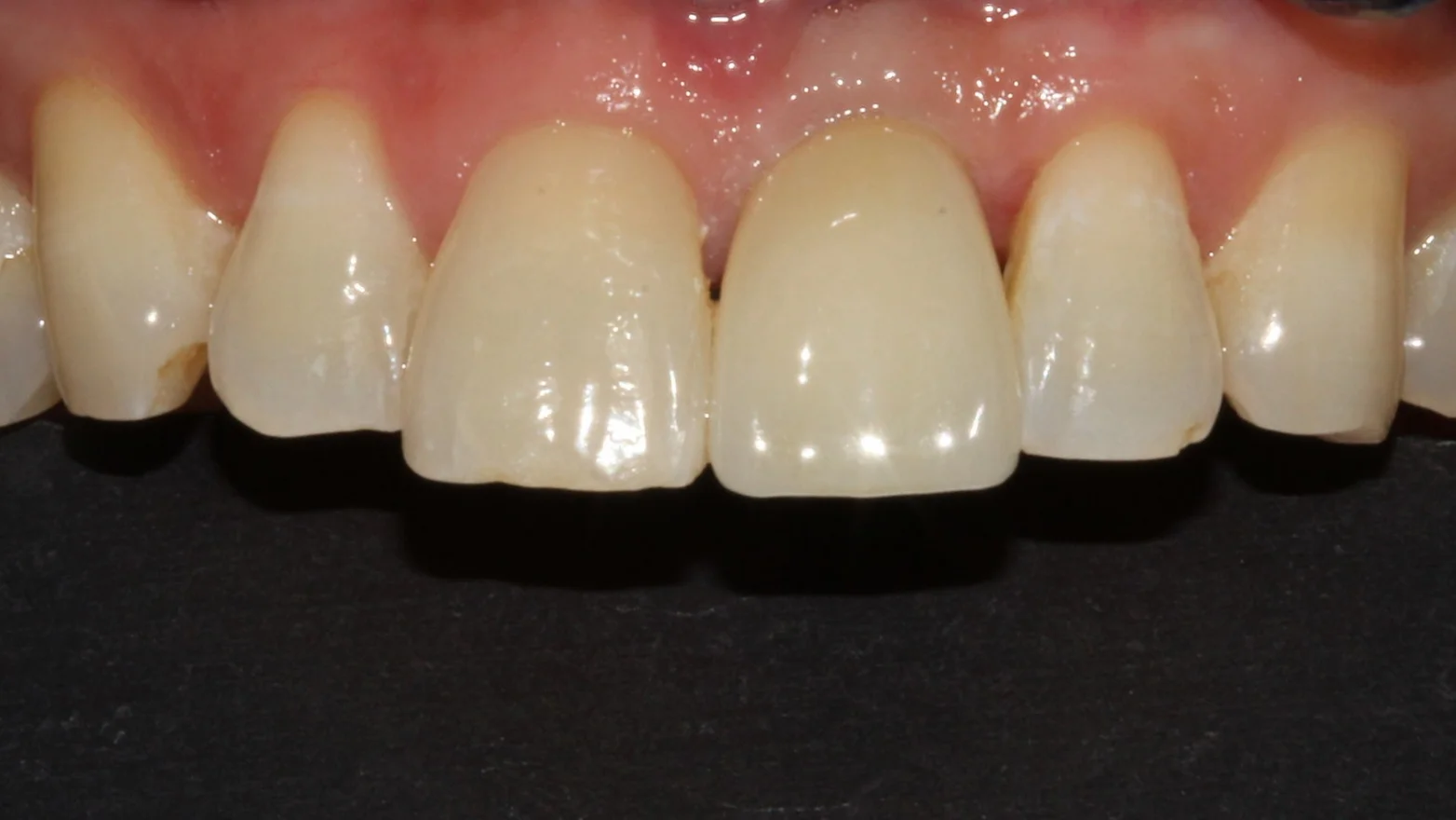
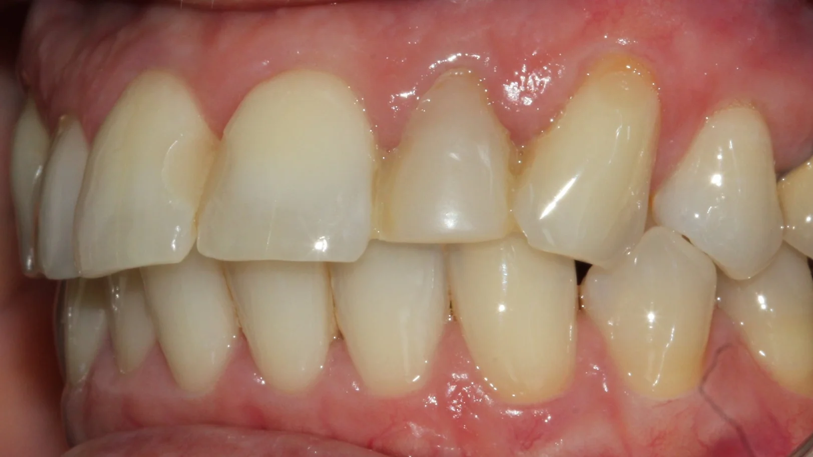
Case Study 1 - Congenitally missing adult lateral incisor (replaced by an implant-supported ceramic crown)

 

 

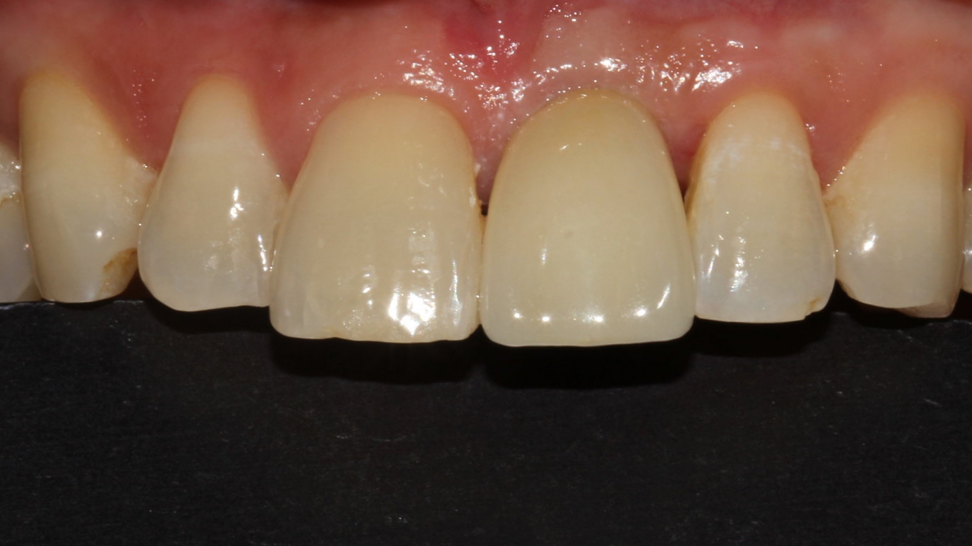
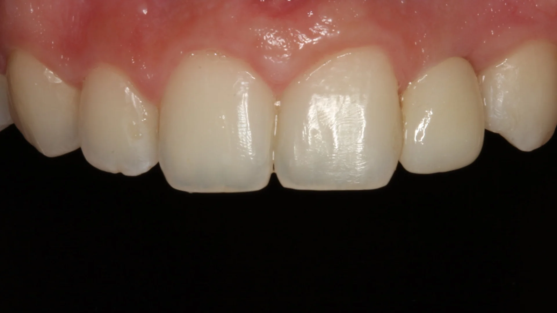
Case Study 2 - Fractured Central Incisor (replaced by an implant-supported ceramic crown)

 

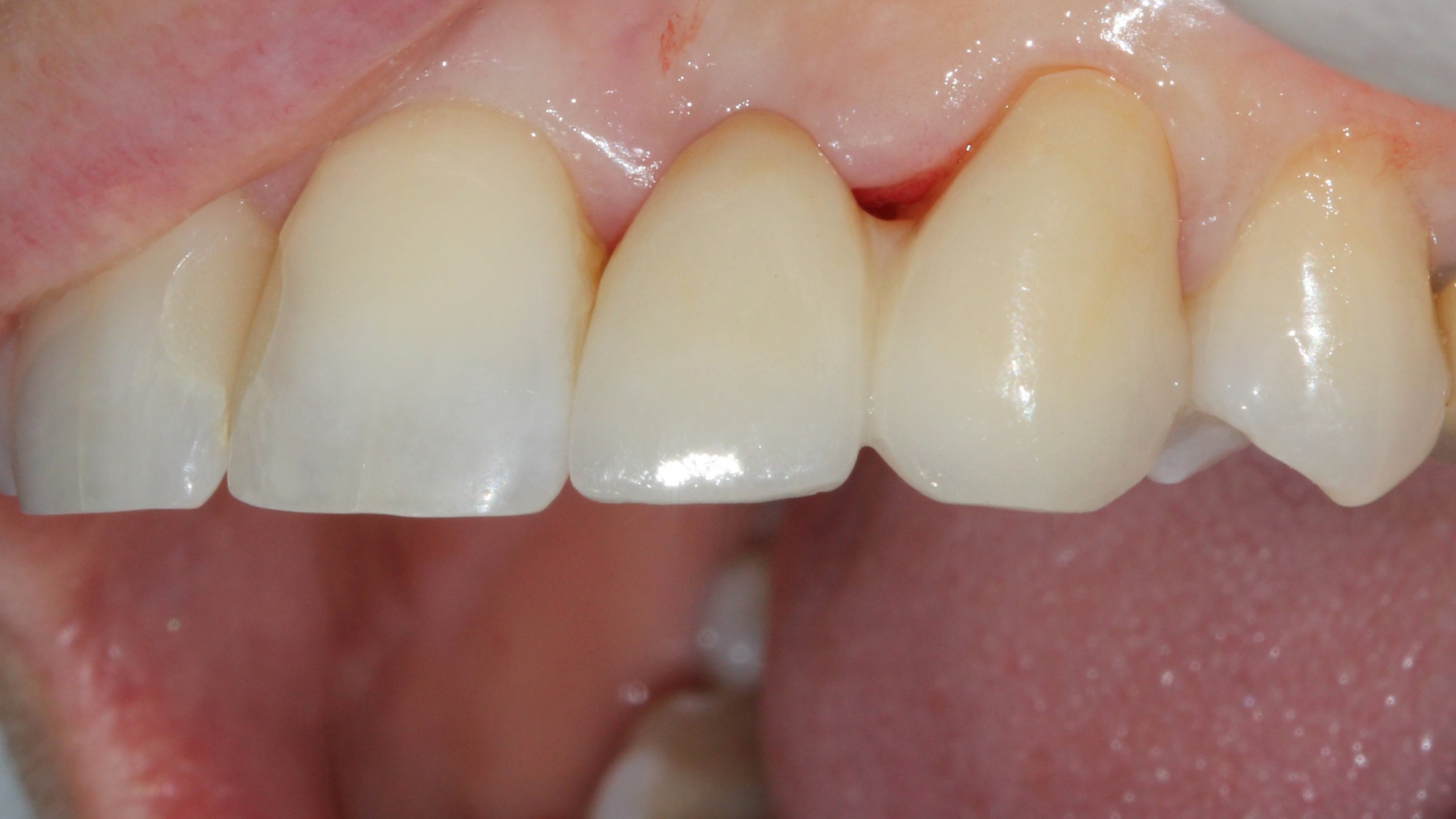
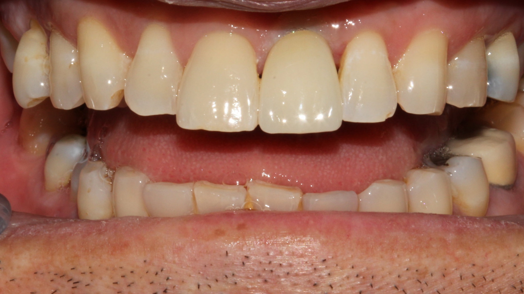
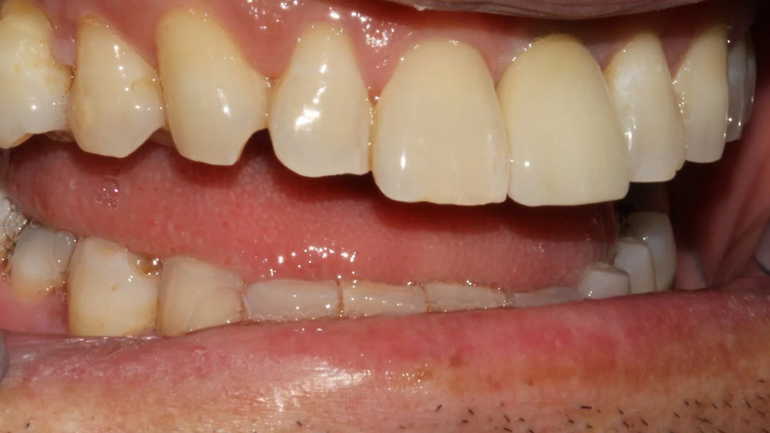
Case Study 3 - Failing Left Lateral Incisor (replaced with a cantilevered ceramic bridge)